Skip to main content
Menu
Home
About
About Us
Dr. Bell
Our Team
Our Blog
Dental Solutions
Dental Solutions Overview
Preventive and Family Care
Preventive and Family Care Overview
Family Dental Care
Check-Ups and Cleanings
Scaling and Root Planing
Bone & Gum Care (Periodontal Disease
Cosmetic Dentistry
Cosmetic Dentistry Overview
Porcelain Veneers
Teeth Whitening
Invisalign
®
Cosmetic Dental Bonding
Smile Makeover
Dental Implant Care
Dental Implant Care Overview
Dental Implants
Implant Dentures
All-on-4
®
Implant Dentures
Restorative Dentistry
Restorative Dentistry Overview
Dental Fillings
Inlays and Onlays
Dental Crowns
Dental Bridges
Full Mouth Reconstruction
Advanced Dentistry
Advanced Dentistry Overview
Oral Surgery
Sedation Dentistry Nitrous Oxide (Laughing Gas)
TMJ Disorder and Treatment
Root Canal Therapy
Dental Sleep Apnea Treatments
Dentures & Partials
Smile Gallery
Resources
Patient Resources
Reviews
Bell Dental Savings Plan
New Patient Forms
Insurance and Financing
Contact
Request an Appointment
Email Us
Map & Directions
Pay Now
2680 E Joyce Blvd
Fayetteville, AR 72703
Locations Dropdown
2680 E Joyce Blvd
Fayetteville, AR 72703
Close
Locations Dropdown
479.458.0659
479.443.6542
Close
Pay Now
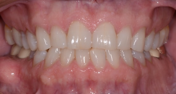
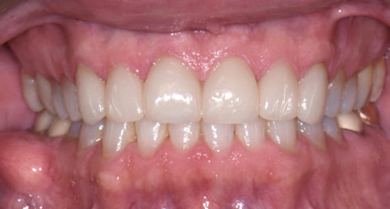
Patient 15
Home
/
Gallery
/
Patient 15
Case Details
Porcelain Crowns
Back to Gallery